Pokud se Vám tento portál líbí, budeme rádi za jakýkoliv příspěvek na jeho provoz. Děkujeme.

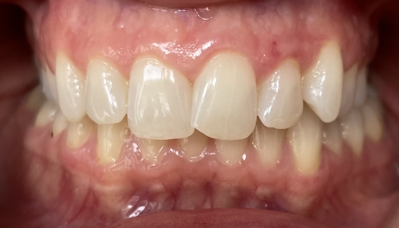
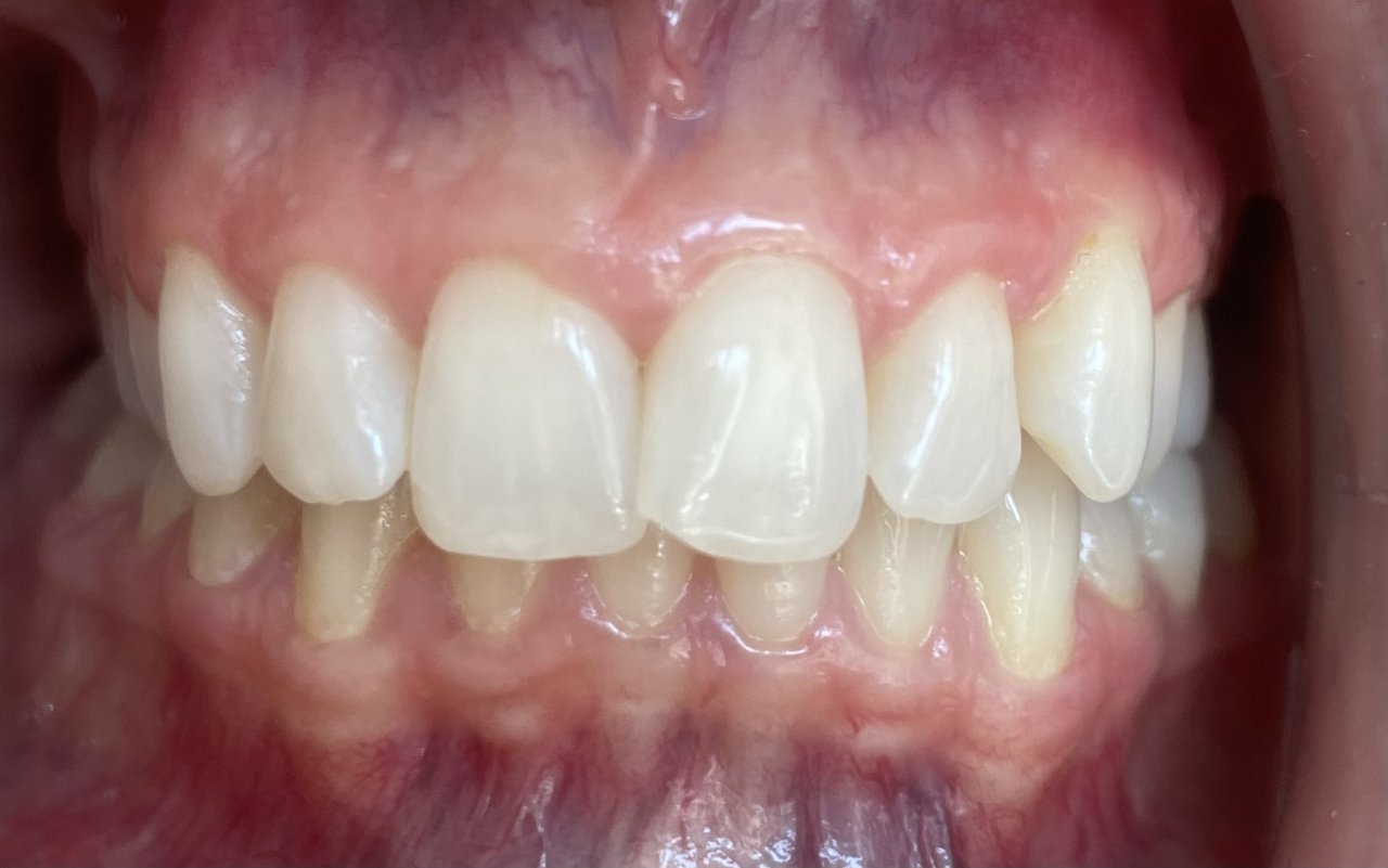
Fotografie před úpravou Fotografie po úpravě

Náš web je pro všechny a to bez rozdílu a proto je a zůstane vždy zdarma.